ความก้าวหน้าล่าสุดของปัญญาประดิษฐ์กำลังเปลี่ยนแปลงโลกอย่างรวดเร็ว ตั้งแต่รถยนต์ที่ขับเองไปจนถึงการจดจำรูปภาพไปจนถึงแชทบอท ปัญญาประดิษฐ์และแนวทางของมันได้เปลี่ยนโฉมทุกอุตสาหกรรมเท่าที่จะเป็นไปได้ เมื่อพูดถึงประสิทธิภาพและประสิทธิภาพของเทคโนโลยีอัจฉริยะเหล่านี้ ไม่ต้องสงสัยเลยว่ามันไม่เคยล้มเหลวในการสร้างความประทับใจให้กับคนทั่วไป
แมชชีนเลิร์นนิงตามทฤษฎีบทการคาดการณ์น่าจะเป็นประโยชน์ต่อทุกอุตสาหกรรมในทุกวันนี้ แล้วทำไมไม่ลอง Healthcare ล่ะ อาจมีคนไม่มากที่ทราบ แต่การเรียนรู้ของเครื่องมีส่วนสำคัญหลายประการในการถ่ายภาพทางการแพทย์, MRI, พยาธิวิทยา, การระบุการรักษาเฉพาะบุคคล, การปรับเปลี่ยนยา, รังสีวิทยาและการรักษาบันทึกสุขภาพอิเล็กทรอนิกส์
ตามรายงาน ข้อผิดพลาดในการวินิจฉัยทางการแพทย์มีส่วนทำให้เสียชีวิตประมาณ 10% มันอยู่ภายใต้ IVD (การวินิจฉัยทางการแพทย์ในหลอดทดลอง) ที่ซื้อโดยผู้บริโภคหรือใช้ในห้องปฏิบัติการเพื่อตรวจหาการติดเชื้อ เงื่อนไขและโรค ข้อผิดพลาดในการวินิจฉัยเหล่านี้อาจไม่ใช่ข้อผิดพลาดของมนุษย์ แต่ขาดประสิทธิภาพในการบูรณาการเทคโนโลยีสารสนเทศด้านสุขภาพ การขาดระบบงานด้านสุขภาพนำไปสู่การวินิจฉัยที่ไม่เหมาะสม อุปสรรคในการสื่อสารระหว่างการวิจัยและพัฒนา (R&D) แพทย์และคลินิก ผู้ป่วย; ผู้ดูแล; เป็นต้น

อ่านเพิ่มเติม : รู้เกี่ยวกับแมชชีนเลิร์นนิงและความเป็นไปได้ทางนวัตกรรม
แอปพลิเคชันแมชชีนเลิร์นนิงที่ล้ำสมัย
ในด้านการดูแลสุขภาพ แมชชีนเลิร์นนิงมีโอกาสที่ดีในการคว้าเครื่องมือปฏิวัติที่ใช้ NLP (การประมวลผลภาษาธรรมชาติ) การจดจำใบหน้า การเรียนรู้เชิงลึก และการวินิจฉัยโดยใช้คอมพิวเตอร์ช่วย เพื่อสนับสนุนการดูแลที่ดีขึ้น
รายการด้านล่างคือแอปพลิเคชันการวินิจฉัยของ AI Machine Learning ที่อำนวยความสะดวกในการตัดสินใจได้ดีขึ้น ปรับปรุงประสิทธิภาพของการวิจัย/การทดลองทางคลินิก และการดูแลสุขภาพที่มีคุณภาพ
-
การวินิจฉัยขั้นสูง –
การระบุโรคและการวินิจฉัยเป็นแนวหน้าของแมชชีนเลิร์นนิงในการแพทย์ ML ทำงานเป็นพิเศษในพื้นที่เพื่อรักษาโรคที่เกิดจากสมองและมะเร็งที่น่ากลัวที่สุด ตามรายงานหลายฉบับ ยาและวัคซีนมากกว่า 800 รายการสำหรับรักษามะเร็งอยู่ในระหว่างการทดลองแล้ว และการใช้การวิเคราะห์เชิงคาดการณ์เพื่อช่วยในการวินิจฉัยและรักษาโรคทางสมองเป็นที่ต้องการอย่างมาก

-
มะเร็งวิทยา –
ด้วยการเรียนรู้เชิงลึก มันได้เปิดประตูสู่การตรวจหามะเร็งในระยะเริ่มต้น เนื่องจากถือเป็นสาเหตุการตายอันดับสองของโลก โชคดีที่ซอฟต์แวร์การเรียนรู้เชิงลึกแสดงความสามารถในการวินิจฉัยได้อย่างแม่นยำเมื่อเปรียบเทียบกับผู้เชี่ยวชาญและในระยะเริ่มต้นเพื่อให้สามารถดำเนินการได้ทันท่วงที

อ่านเพิ่มเติม : สุดยอดเครื่องมือแมชชีนเลิร์นนิงที่เป็นพรแก่นักพัฒนา
-
การรักษาส่วนบุคคลที่มีประสิทธิภาพ –
เป็นพื้นที่การวิจัยที่ร้อนแรงที่สุด ซึ่งข้อมูลของผู้ป่วยจะจับคู่กับการวิเคราะห์เชิงคาดการณ์ซึ่งช่วยให้สามารถให้ยาเฉพาะบุคคลและการรักษาที่มีประสิทธิภาพแก่ผู้ป่วย โดเมนที่ปกครองโดยแพทย์ได้รับความช่วยเหลือจากชุดการวินิจฉัยที่จำกัดมากขึ้น เพื่อผลักดันให้เกิดการเปลี่ยนแปลงการตัดสินใจในการรักษาและเพื่อเพิ่มประสิทธิภาพการเลือกตัวเลือกการรักษา ในอนาคตอันใกล้ เรามีแนวโน้มที่จะเห็นการใช้งานแอพมือถือ ไบโอเซนเซอร์ที่มีการวัดสุขภาพที่ไร้ขีดจำกัด และการตรวจสอบปัญหาสุขภาพอย่างละเอียด หวังว่าจะลดค่าใช้จ่ายด้านการดูแลสุขภาพและผู้ป่วยที่ปฏิบัติตามใบสั่งยาอย่างเคร่งครัด จะช่วยให้สุขภาพของแต่ละคนดีขึ้นโดยอัตโนมัติเช่นกัน

-
แชทบอท –
แชทบอทที่ใช้ AI สามารถระบุรูปแบบในอาการของผู้ป่วยผ่านความสามารถในการจดจำเสียงพูด จากนั้นสามารถรายงานเปรียบเทียบอาการจากเคสที่เก็บไว้ในฐานข้อมูลได้ ในคำติชม จะวิเคราะห์ปัญหากับผู้ใช้และให้คำแนะนำที่เหมาะสมและการดำเนินการ ตามคำตอบของผู้ป่วยที่ Chatbot ถามเกี่ยวกับประวัติทางการแพทย์ อาการและสถานการณ์ของผู้ป่วย เป็นต้น นอกจากนี้ ด้วยการวินิจฉัย Chatbots ยังรวมเข้ากับข้อมูลของผู้ป่วยด้วยอุปกรณ์สวมใส่เพื่อติดตามระดับคอเลสเตอรอลและอัตราการเต้นของหัวใจ เป็นต้น

-
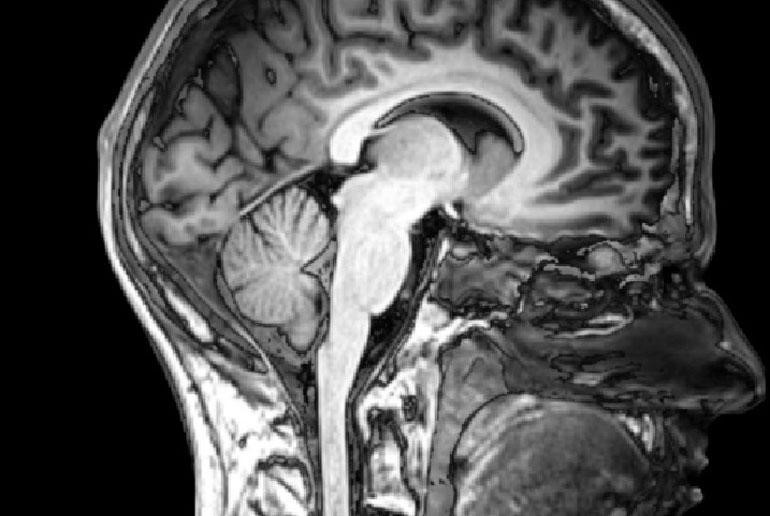
ปรับปรุงคุณภาพของข้อมูลภาพสมองใน MRI –
Brain Imaging หรือ Neuroimaging ดำเนินการเพื่อประเมินความผิดปกติของสมองและรับประกันการทำงานที่เหมาะสม การถ่ายภาพสมองช่วยวินิจฉัยโรคทางสมองและปรับปรุงการวิจัยเกี่ยวกับสมองของมนุษย์ แม้ว่าสิ่งเหล่านี้จะเป็นเพียงข้อดีบางประการของการถ่ายภาพสมอง แต่ MRI (Magnetic Resonance Imaging) ต้องเผชิญกับปัญหาใหญ่ในระหว่างกระบวนการ คุณภาพของข้อมูลที่ลดลงเกิดขึ้น เนื่องจากผู้ป่วยขยับศีรษะระหว่างการสแกน MRI จึงเป็นอุปสรรคต่อการวิเคราะห์สมองและผลการวินิจฉัยที่ผิดพลาด ด้วยความช่วยเหลือและซอฟต์แวร์ ML เช่น FIRMM ที่ช่วยตรวจสอบข้อมูลที่เกี่ยวข้องกับสมองแบบเรียลไทม์และให้ตัวชี้วัดเกี่ยวกับคุณภาพของข้อมูล พัฒนาภายใต้ Linux OS และใช้งานได้เฉพาะในแพลตฟอร์ม Ubuntu และ CentOS เท่านั้น

-
การผ่าตัดด้วยหุ่นยนต์ –
เมื่อพูดถึงหุ่นยนต์ผ่าตัด หุ่นยนต์ดาวินชีได้ขโมยเกมไปแล้ว ช่วยให้ศัลยแพทย์สามารถควงแขนหุ่นยนต์เพื่อทำการผ่าตัดได้อย่างละเอียดและในพื้นที่จำกัดโดยไม่สั่นสะท้าน แม้ว่าจะไม่ใช่การผ่าตัดด้วยหุ่นยนต์ทั้งหมดที่มี ML อยู่ในนั้น แต่ก็ช่วยระบุระยะห่างจากแขนขาของหุ่นยนต์ไปยังร่างกายที่ดำเนินการได้ นอกจากนี้ ยังดูแลการเคลื่อนไหวอย่างต่อเนื่องและการเคลื่อนไหวของแขนขาหุ่นยนต์เมื่อรับคำสั่งจากผู้ควบคุมที่เป็นมนุษย์

-
โรคผิดปกติ –
ในการรักษาโรคหายากหลายชนิด การเรียนรู้ของเครื่องจะผสานเข้ากับซอฟต์แวร์การจดจำใบหน้าที่ช่วยในการวินิจฉัยทางคลินิก ภาพถ่ายของผู้ป่วยจะได้รับการวิเคราะห์ผ่านซอฟต์แวร์จดจำใบหน้าหรือซอฟต์แวร์การเรียนรู้เชิงลึกเหล่านี้โดยมีการวิเคราะห์ใบหน้าที่ทำงานอยู่เบื้องหลัง และการเรียนรู้เชิงลึกหมายถึงการตรวจหาฟีโนไทป์ที่สัมพันธ์กับโรคทางพันธุกรรมที่หายาก

เราได้สำรวจแอปพลิเคชันบุกเบิกเหล่านี้หลายรายการ แม้ว่ารายการนวัตกรรมจะไม่มีวันสิ้นสุดอย่างแน่นอน เราตั้งใจที่จะนำเสนอกลุ่มไดนามิกปัจจุบันที่รวบรัดโดยอิงจาก AI Machine Learning
ปิดความคิด
วิธีการตอบสนองต่อการดูแลสุขภาพได้รับการหล่อหลอมให้เป็นวิธีการคาดการณ์ในปัจจุบัน ด้วยเทคโนโลยีอัจฉริยะเหล่านี้ เราเชื่อว่ามีโอกาสเสมือนจริงที่ไม่จำกัดจำนวน ด้วยนวัตกรรมมากมายในองค์กรด้านการดูแลสุขภาพหลายแห่งทั่วประเทศ แมชชีนเลิร์นนิงจึงดูเหมือนเป็นผู้ช่วยชีวิตที่ช่วยให้ระบบการดูแลสุขภาพ